二尖瓣有着复杂的解剖结构,包括瓣叶、腱索、乳头肌、瓣环,对左室功能的维持起着重要作用。任何影响二尖瓣的疾病都会导致二尖瓣关闭不全,进而使生存率降低。
二尖瓣关闭不全通常可以分为原发性病变和继发性病变。原发性病变包括:退行性病变、肌纤维发育不良、风湿性疾病、心内膜炎、二尖瓣脱垂。继发性病变包括:心房或者心室疾病比如缺血性心脏病、扩张性心肌病造成的心脏扩大。
目前指南建议病人进行手术治疗:有症状的严重二尖瓣返流(I级推荐)、无症状但左室功能异常(I级推荐)、无症状且左室功能无异常但是极有可能修复瓣叶结构(IIa级推荐)、有症状的继发性二尖瓣关闭不全为了以后方便患者自我管理(IIb级推荐)。欧洲心脏病协会和美国心脏病协会在定义左室功能以及返流程度方面存在不同。
一、介入治疗的理由
虽然没有大范围多中心的随机化试验可以证明手术治疗有症状的严重二尖瓣关闭不全较传统药物治疗更有优势,但是经验观察可知手术可以提高生存率,尤其对于原发性二尖瓣关闭不全效果更佳。
但是,手术相关死亡率为1%-5%,术后失败率10%-20%,包括:卒中、再次手术、肾功能衰竭、过度通气。这在那些有左室功能障碍的老年患者中尤为明显,80岁以上的老年人手术死亡率高达17%,术后致残率高达1/3。 而且老年医保患者术后30天再入院率高达20%。减少手术死亡率和再入院率是非常重要的目标。
继发于左室功能不全而导致的二尖瓣返流患者,若不进行手术,生存率较原发性患者更低。遗憾的是,目前研究均没有证实手术治疗可以提高生存率。在结构性和功能性二尖瓣关闭不全患者中,年龄和并发症是预测生存率的主要因素。这些患者手术的目的都是改善症状,我们有必要思考手术会多大程度的治愈二尖瓣返流。
复发性的中度或重度的关闭不全患者占全部的30%,复发在缺血引发的关闭不全的患者更早且发生率过高。综上所述,一种更小创伤、更合理、花费更小的方法急需推荐(尤其对老年人)。考虑这些因素,介入治疗二尖瓣关闭不全不只要考虑反流量的减少,还要考虑症状的改善、医疗资源的节约。
考虑到二尖瓣结构的复杂性,应该根据病变的不同而进行不同的介入治疗。不像外科手术那样,介入治疗二尖瓣返流仍有很多局限性,下面是一些介入治疗二尖瓣关闭不全的方法。
二、瓣叶及腱索的修复技术
1. 经皮二尖瓣夹合术(Mitraclip)
经皮二尖瓣夹合术是目前治疗二尖瓣关闭不全最常见的介入治疗技术。该技术需房房间隔穿刺,送入Clip装置,利用这一装置抓取二尖前后叶的中央小叶从而形成双开口(A2和P2)。
这项技术通常和瓣环成形术一同实施,在各种病变中这一介入手术对精心挑选的病人均行之有效。该技术需房房间隔穿刺,送入Clip装置,利用这一装置抓取二尖前后叶的中央小叶从而形成双开口。
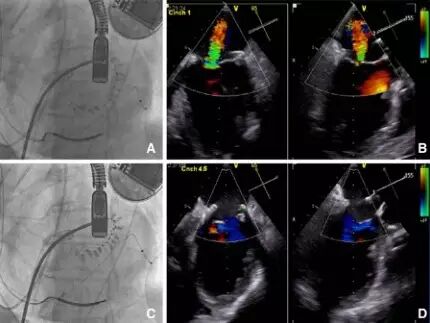
Clip通过24F的递送鞘管经过股静脉,通过房间隔穿刺,送入左心房,在导管室借助于经食道超声Clip直接置于二尖瓣返流柱上。抓住二尖瓣前后叶,返流量明显减少后可释放MitraClip装置。如果二尖瓣返流量减少不满意,可松开二尖瓣叶重新夹取直至满意为止。见图1

图1
评价MitraClip介入治疗的临床研究EVEREST I期已经证实了他的可行性。EVEREST II期临床研究亦已完成,研究主要终点有:随访12月时,瓣膜功能不全而需手术治疗,死亡和中重度或重度二尖瓣返流(大于二级)。两者对比为55%和73%。
在EVEREST II中,按2:1配对,184名患者接受了Mitraclip治疗,95名患者行外科手术治疗。基线资料证实研究人群平均67岁,较之手术患者大了10岁,且合并的疾病较多。术后30天不良事件发生率两者明显差别9.6%对比57%,而且手术患者还会有非常大的书中输血可能。
随后的一系列分析也表明Mitraclip治疗成功的二尖瓣关闭不全患者,明显改善返流情况,复发率和再次手术几率都非常低。第四年总体死亡率两组无明显区别。大于3度和4度的二尖瓣返流明显减少,具体结果见图2。 

图2
此次高危患者也入选其中,失败率和手术治疗的轻度患者相同。EVEREST II中78名患者,估计手术治疗30天后死亡率为14%,而Mitraclip治疗后死亡率为8%,1年生存率达76%,效果明显优于传统治疗方法。Mitraclip疗法可以明显改善返流,逆转左室重构,提升心功能和生活质量,减少再入院率。
另外有研究证明心脏再同步化治疗失败的病人也有不错疗效,51名患者30天死亡率只有4%,其它方面如心功能和重构也明显改善。欧洲其他的一项临床研究也表明Mitraclip治疗二尖瓣返流,30天死亡率3.4%和1年生存率82%。随访12个月,79%的患者返流小于2度,纽约心功能分级在I或II级,6分钟步行时间显著增加,明尼舒达生活与心脏衰竭评分为13.5。
美国FDA在2013年10月通过Mitraclip在有手术禁忌的MR退行性变患者中应用的决议。近期ACC/AHA指南建议(建议等级IIb级,询证B级),考虑在有合并症及手术禁忌的继发性MR患者中运用Mitraclip,大范围多中心的实验比如COAPT,已经开始着手研究Mitraclip在高风险患者中的安全性和有效性,终点事件包括复发性心衰的再入院情况、全因死亡率、卒中、肾衰以及左室安装其他辅助装置或者移植。
2.其他瓣叶及腱索的修复方法
尚有治疗MR的处于临床I期的其他方法,比如 NeoChord, Mitra-Spacer, MitraSpan, MitraFlex, and V-Chordal,如图3所示


图3 Carillon间接成形术(A), Mitralign 直接成形术(B), enCor 二尖瓣环环缩术(C)NeoChord人造腱索及其配套传送装置(D)。
NeoChord DS1000:聚四氟乙烯腱索,将腱索缝合在心脏壁的乳头肌与二尖瓣小叶之间的位置。早期进行的7个中心的TACT临床试验,30天56%的病人返流降到2度及以下。最近新开发的V-Chordal已经经过验证可以在乳头肌头部安置,避免更有侵入性的操作。
Mitra-Spacer :是一项经间隔或者心尖穿刺,将占位封堵器固定在左室心尖部位的一项技术。封堵器和二尖瓣结合后在流入道使返流减少。早期少量病人的实验表明,可以将返流降至2度以下。
Mitra-Flex:通过胸腔镜经心尖穿刺,植入新的人工腱索,这项技术还处于临床前期。MitraAssist Medical Ltd和 Middle Peak Medical Inc:是可以结合到患者二尖瓣上的假体,结合之后增强二尖瓣的功能。
Middle Peak Medical装置可以模拟收缩末期二尖瓣后叶正常关闭时的形状。可以经手术或者介入锚定在左室后壁上,阻挡向前移动的前叶,使两瓣膜更好的闭合。
3.间接瓣环成形术
早期的二尖瓣介入治疗的关注点在心脏的静脉解剖结构上,因为易于从右侧颈内静脉接入心大静脉近端和冠状静脉窦远端的二尖瓣瓣环后部。这相当于通过植入设备模拟瓣膜成型手术,使二尖瓣的闭合能力得到改善。早期的研究证实了这一技术的可行性,也存在不少技术难题。该技术改善部分患者的返流情况,但是不良事件如心肌梗死和冠状静脉窦破裂发生率较高。
尽管上述技术简单易行,但是较手术和适用人群以及继发性病变来说还是有很多局限性。效果不佳可能与个人解剖变异、冠状静脉窦的相对位置、重塑之后的功能有关系。存在的风险包括损伤心脏静脉系统、冠状动脉左回旋支、左对角支,而这两支在绝大多数病人中穿行于冠状静脉窦和二尖瓣瓣环之间。
(1)Carillon
该设备在2011年获得CE认证,并且在欧洲成功上市。该装置被永久的锚定在冠状动脉窦,具有收紧装置,可以牵引二尖瓣瓣环收缩。美国的一项研究发现,62.5%的病人安装此装置之后返流得到明显改善。
而该装置的改良版本也在临床试验阶段,参加实验的病人平均62岁,EF值只要29%,80%的患者为3-4级返流。治疗6-12个月之后,左室重构和功能、症状都得到了明显改善。
(2)Cerclage
Cerclage 环扎术是一项新颖的减小间隔两侧腔内径的方法,该技术在透视引导下通过基底间隔静脉放置缝线,从冠状动脉窦跨室间隔进入右心室,然后在右心创建一个更完整的圆周瓣环,然后通过荷包缝合创建紧密贴合。该技术尚未应用于临床。
4.直接瓣环成形术
因间接瓣环成形术存在局限性,直接成形术越来越多的被研究和应用。下面介绍几种技术。
(1)Cardioband
Cardioband 设备能够进行经导管二尖瓣反流 (MR) 修复,从而避免心内直视手术和使用心脏体外循环机。另一个好处是在心脏不停跳的情况下,调整 Cardioband 大小,从而实现最佳修复结果。
一旦锚定,将会使内径缩小30%,相关技术显示见图4。意大利米兰第一个尝试该疗法,目前大范围多中心的实验正在进行过程中。


图4
(2)Mitralign
Mitralign系统将指引导管置于二尖瓣后叶的瓣叶中部,通过射频导丝穿刺二尖瓣瓣环到达左心房,并送入由细绳互相连接的锚定垫子,通过收紧垫子之间的细绳可以将二尖瓣瓣环周长缩短。有研究表明术后内径减少8mm,在德国的多中心研究已经完成注册。
(3)Accucinch
Accucinch系统的指引导管到达二尖瓣瓣环后,沿二尖瓣瓣环释放锚定装置,通过细绳相连接,收紧细绳缩短二尖瓣瓣环的周长。该系统的第一批应用患者在2009年接受该法治疗,目前还没有相关结果。
(4)其他
QuantumCor
QuantumCor系统为一由电极和电偶组成的环形物,可产生热量,使二尖瓣瓣环产生疤痕收缩,从而减小二尖瓣瓣环的直径。该系统目前仍处于动物试验阶段。但因射频消融产生的疤痕难以控制,可能会引起二尖瓣狭窄或残留MR,并且可能引起二尖瓣及其他心脏结构穿孔。
其他技术如MitraSpan 、Adjustable Annuloplasty Ring 、Cardinal Ring 和 enCor Dynaplasty ring均已经通过CE认证,关于enCor Dynaplasty ring的临床试验已经开展。
5.左室重塑技术
此疗法的出现是基于对继发性和功能性二尖瓣返流的病理生理的理解,病人心肌梗塞引起乳头肌缺血坏死,或因长期缺血,坏死的心肌组织逐渐被纤维组织所替代,乳头肌变薄、伸长,收缩功能减弱或丧失,呈现二尖瓣关闭不全。
不断增大的左室腔,使瓣环不断扩大,导致瓣叶闭合不全。左室结构的变化引发的二尖瓣关闭不全引起我们对于左室重塑技术的思考。
Coapsys
Coapsys瓣环成形系统的设计原理是通过在左室表面放置两个小垫,然后在超声引导下逐步拉紧两者之间内置于心内左室乳头肌水平的一条坚韧的聚乙烯线,从而使二尖瓣下左室壁距离缩短,达到闭拢二尖瓣的效果。在最近公布的RESTORE-MVⅠ期临床研究中,19例患者在心脏跳动下接受了Coapsys系统二尖瓣成形和冠脉搭桥术,术后二尖瓣反流程度明显好转。
6. 瓣膜置换
目前瓣膜置换在二尖瓣反流的治疗中应用前景良好,现予以归纳。
CardiAQ
CardiAQ 支架被认为是比较有应用前景的一种二尖瓣置换装置,该支架材料为镍钛记忆合金,带有锚定装置有利于支架固定。研发者公布了在患有急性或者亚急性二尖瓣返流的81头猪上的试验结果,显示36%的治疗后失败率,及21%的置入失败率。2012年首次进行人体试验,在体外循环下置入成功,但是该病人很快死去。目前研究结果均不明朗。


图5 CardiaQ (A),Tiara (B),Fortis (C),Lutter/Tendyne (D)
Tiara
Tiara系统(加拿大里士满;Neovasc)——由基于镍钛合金的自扩张框架和可以自行贴合不对称D形二尖瓣瓣环的三片式牛心包组成——临床前研究中表现出了很高的植入成功率,但是人们认为,因为只有1种瓣膜大小,这可能增加了瓣膜周围渗漏的发生率。
Fortis
Fortis是由牛心包缝制而成的自膨胀式瓣膜,主要是最大程度上减少瓣周漏。近期有4名不愿接受手术的患者接受了该法治疗,治疗后3名病人死亡。后续报道不详。
其他尚有Tendyne、Medtronic Inc、Endovalve prosthesis、Carrdio Ltd、ValveXchange 、Vanguard Heart、welve Inc、 Highlife SAS等方法处于研究过程当中。
三、讨论
经皮二尖瓣修复术目前仍处于发展阶段。随着器械的改进及研究的进展,经皮二尖瓣修复术将成为MR患者特别是外科手术高危患者的重要治疗手段。
其中,MitraClip具有良好的应用前景,无论是功能性还是器质性MR,只要瓣膜解剖结构合适,都可行MitraClip。目前研究已初步显示,MitraClip在外科手术高危或禁忌的中重度MR的心力衰竭患者中也有益处,可以逆转左心室重构、改善患者症状。
随着影像技术的突破及器械的改进,经皮直接二尖瓣环成形术和经皮人工二尖瓣腱索植入术也有望取得突破性进展。未来的治疗二尖瓣反流的介入技术会不断涌现,造福患者。